本日の症例は、右上6番の再根管治療である。
当院での治療は上下顎ともに、大臼歯と言われる6番&7番の再治療の依頼が最も多い。
患者さんは40代女性。
主訴は「他院で半年くらい根管治療をしているが、ずっと痛みや違和感が続いている。頻繁に通っているのに、全然よくなる気配がなく、心配になった。自分の歯はきちんと残したいので相談したい。」
ということであった。
専門医の治療では、半年間もの間、根管治療をするということは無い。
なぜ半年間治療しても、良くならないのだろうか?
主な理由として、以下があげられるだろう。
①患者さんに聞くと、治療中にラバーダムはしていなかったということだ。何度も書いているが、ラバーダム無しの根管治療は、歯の中に細菌を植え付ける行為に他ならない。
②歯を見ると、隔壁もなく、とても無菌的に処置をしているとは言えない。
③いまだに、根管貼薬(治療と治療の間に、根管内に薬を入れておくこと)で病気が治ると思っている先生もいるが、それは大きな間違いである。
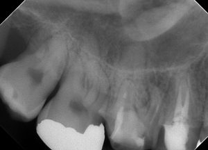
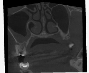
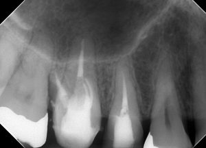
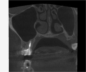
レントゲンを見てみよう。
(術前レントゲン、CT)



全ての根管に、根尖病変が存在する。
打診(+)、咬合痛(+)の状態であった。
根管治療の途中であるので、まずは再根管治療が第一選択となる。
それで症状が改善しない場合は、外科的歯内療法を検討しなければならないだろう。
患者さんには、全ての根管治療において、追加の外科処置の可能性があることを伝えておかなければならない。
なぜなら、根管治療の成功率は100%ではないからである。

治療は一回法で行った。
古い充填物は全て除去し、隔壁を立て、ラバーダム防湿をして、マイクロスコープ下で治療をする。
所要時間は90分弱だ。
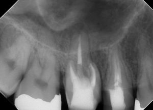
(術直後のレントゲン)

術後の仕上がりには問題は無い。
そして、支台築造もラバーダム防湿化で行うことが重要だ。
ここから経過観察を行なった。
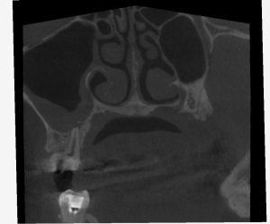
(術後6ヶ月のレントゲン、CT)




今回は全ての根管において、治癒が認められた。
治療前の症状も全て改善され、最終補綴へ移行した。
一回の治療で治ったことに患者さんは驚かれていたが、我々にとってはルーティンワークである。
上顎大臼歯は以下のような、複雑な形を呈している。

全ての根管治療に言えることではあるが、まずはマイクロスコープで見える範囲で、根管内を清掃することが第一である。