今回は3本の歯根端切除術のケースをご紹介しよう。
患者さんは50代女性。
主訴は「前歯の根本の歯ぐきが痛い。10年くらい前に自費治療で被せ物をした。その時は神経が生きていたが、被せ物をするために神経を取った。治療するのに被せ物を取らないといけないのか相談したい。」
ということであった。
口腔内には上顎2ー2の4本に、連結されたメタルボンドクラウンが装着されている。
過去の治療の経緯からすると、この4本は補綴処置(被せ物)のために便宜抜髄をしたようだ。
便宜抜髄とは「クラウンなどの被せ物のために、事前に歯の神経を除去すること」をいう。
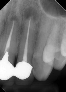
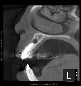
レントゲンを見てみよう。
(術前のレントゲン、CT)
 
 
 
右上2、左上1、左上2に根尖病変がある。
また、左右2番の根尖部に圧痛を認めた。
過去の根管治療ではラバーダムは使用していなかったとのこと。
4本の根管治療のうち、3本が失敗し、根尖病変ができている。
成功率でいうと、25%だ…
根管治療の中でも、本来最も成功率が高い抜髄治療(90%以上)で、
最も難易度が低い上顎前歯の治療でも、この有り様である。
「いかに無菌的な環境下での治療が重要か」がわかるケースだろう。
患者さんには
①再根管治療
②歯根端切除術(逆根管治療)
の二つを提案した。
患者さんは
・被せ物は気に入っており、外したくはない。
・治療回数が少ないほうを選びたい。
・成功率が高いのであれば、外科治療でも気にしない。
という理由により、歯根端切除術を選択された。
典型的な、外科治療の適応症である。
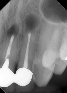
(治療直後のレントゲン、CT)
 



3本同時に手術を行った。
治療は1時間ちょっとで終了した。
逆根管充填をMTA→Lid Technique(BCシーラーとパテ)に変えてから、
治療時間が大幅に短くなった。
我々や患者さんにとっても、非常に大きな恩恵である。
レントゲン的に、仕上がりは問題ない。
ここから経過観察を行なっていった。
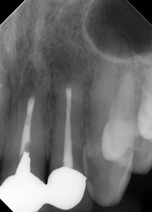
(術後1年のレントゲン、CT)
 
 
 
治療した3本とも、根尖部の骨は完全に再生しているのが確認できる。
術前にあった痛みの症状も、消失している。
患者さんも結果に満足しておられた。
マイクロスコープ下で行う歯根端切除術+逆根管治療は、90%という高い成功率を誇る。
症例によっては、今回のように歯根端切除術のみで対応できるケースもある。
最後に、適応症かどうかの診断が、最も大切であることも申し添えておく。